ハノイでの症例です。聴力低下にて発見された左聴神経腫瘍。サイズはそれほど大きくありませんで...
聴神経腫瘍
コロナが明け、久々のハノイ出張です。40代女性の再発聴神経腫瘍。聴力障害はありましたが、顔...
聴神経鞘腫の実際の症例一覧はこちら 症状について こちらの女性は頭痛と右耳...
症例 聴神経腫瘍 頭蓋底部
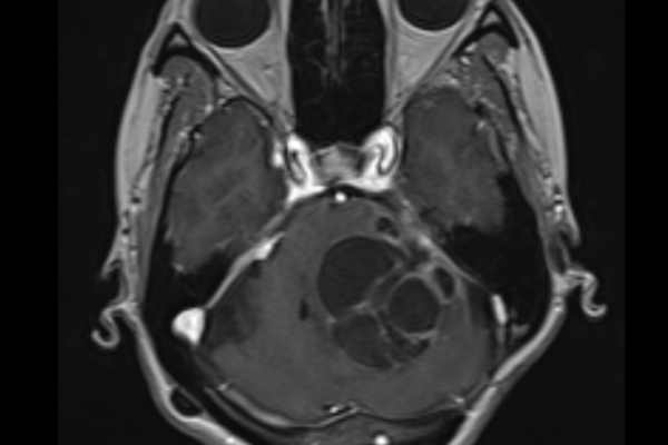
症状について こちらの女性は左の耳が聞こえなくなり病院に受診されました。検査の結果、聴神...